Skowyra Lab
Unraveling the mysteries of the peroxisome
Have you heard about peroxisomes?
These specialized organelles are essential for your health, playing crucial roles in the synthesis of myelin, the breakdown of fats and toxins, and viral infection. How peroxisomes are built by our cells, how they grow and divide, and how they perform their vital functions, are fundamental questions we strive to answer. Defects in these pathways cause tragic and often fatal human diseases, which we seek to understand and ultimately cure. We are tackling these questions using intact cells, biochemical reconstitution with purified components, and a novel cell-free system we have developed based on a cytoplasmic extract from frog eggs.


The peroxisome as a stalwart bioreactor
Peroxisomes contain highly reactive oxidases and other enzymes that carry out crucial metabolic functions. Many of these reactions generate toxic byproducts that must be contained and properly disposed. Any damage to the peroxisome must also be promptly repaired to avoid leakage of the organelle's dangerous contents into the cell. We seek a mechanistic understanding of the metabolic reactions that occur inside peroxisomes, how the necessary reactants and products are moved into and out of the peroxisome from elsewhere in the cell, and how the integrity of peroxisomes is maintained in the face of different insults.
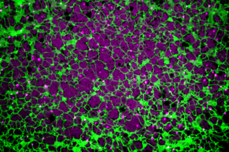
Peroxisomes face a difficult problem
They are completely enclosed by a membrane, yet must import all of their enzymes and other proteins from the cytosol. Remarkably, peroxisomes can import proteins in a folded state and even entire protein complexes, without disrupting their structure or integrity. We have previously revealed that peroxisomal proteins are imported through a nuclear pore-like conduit filled by a selective phase. This phase is formed by the oligomerization of a particular peroxisomal membrane protein and can be reconstituted in vitro as a hydrogel. Using this system, we are exploring the material properties of the phase and how it mediates protein transport.


Divide and conquer
Peroxisomes arise by a complex process thought to involve budding from the endoplasmic reticulum (ER) and fusion of the resulting vesicles in the cytosol. Mature peroxisomes can also grow by fusing with each other or by acquiring lipids from other membrane-bounded compartments. When peroxisomes get too big or more of them are required, they can divide into smaller clones of themselves. How peroxisome biogenesis, growth, and proliferation actually happen, and how these processes are regulated by the needs of the cell, are longstanding questions that we seek to answer.
What's new?
Peroxisomal proteins are recognized in the cytosol by mobile receptors, which shuttle the bound proteins through a nuclear-pore like conduit in the peroxisomal membrane. The receptors are then pulled out from the organelle through a separate channel, leaving their cargo inside. But what about peroxisomal proteins that don't interact with the receptors?
Interested in joining?
Swing by our lab! We are located in room 502 on the 3rd floor of the Jonsson Building (also known as Building K), on the South campus of the University of Texas Southwestern Medical Center.
Alternatively, email us!

Meet Mike Skowyra
Mike joined the Department of Biochemistry at UTSW in the spring of 2025. He obtained his doctoral degree from Washington University School of Medicine in St. Louis, where he trained with Phyllis I. Hanson and discovered a membrane-repair pathway on lysosomes. He then joined the group of Tom A. Rapoport at Harvard Medical School as a Howard Hughes Medical Institute Fellow of the Helen Hay Whitney Foundation, where he helped uncover how proteins are imported into peroxisomes.
Mike has received numerous awards for his research, most notably the 2023 Porter Prize for Research Excellence from the American Society for Cell Biology (ASCB) for his work on peroxisomal protein import, and also being named a Spencer T. and Ann W. Olin Medical Science Fellow in 2019 by Washington University School of Medicine in St. Louis for his work on membrane repair.
Mike is also active in community outreach, having most recently served as Chair of the Harvard Medical Postdoc Association (HMPA), where he helped spearhead efforts for improved postdoc compensation and career-development support. He geeks out on cross-country cycling and microscopes.
Contact Information
- Michael L. Skowyra
- UT Southwestern Medical Center
- 5323 Harry Hines Blvd, Building K3.502, Dallas, TX 75390, USA
- (214) 645-3934